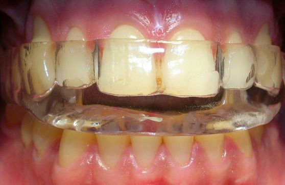
Placa neuromiorelajante
Dispositivo odontológico diseñado para disminuir la tensión muscular y proteger los dientes del desgaste causado por el bruxismo o el apretamiento dental. Ayuda a relajar la musculatura mandibular, mejorar la oclusión y prevenir molestias en la articulación temporomandibular. Ideal para uso terapéutico y de protección dental
